
在過去,人們常以為牙齒矯正只適合青少年,因為青少年骨骼尚未定型,牙齒移動相對容易。然而隨著醫療科技的進步、矯正技術的多樣化以及審美意識的提高,越來越多成年人開始重視牙齒排列與咬合健康。根據牙科協會統計,25~50歲的成人矯正比例逐年上升,隱形矯正與自鎖式矯正器已成為熱門選擇。成人牙齒矯正的意義不僅在於美觀,還包含改善咬合功能、降低牙周問題風險,讓口腔健康與自信笑容並存。
破解迷思:成人牙齒矯正真的太晚嗎?
許多人擔心「年紀大了骨頭固定」就無法矯正,其實牙齒移動依靠齒槽骨重塑,不論年齡大小,只要牙周與骨質狀況良好,都能矯正。成人與青少年矯正的差異主要在於骨骼可塑性與治療時間:
成人與青少年矯正差異
雖然成年人的骨骼結構已經趨於穩定,但牙槽骨依然具有可塑性。這意味著,即使過了青春期,牙齒仍能在外力(例如矯正器的控制)下逐步移動。牙槽骨會隨著牙齒的位移進行重塑與吸收,這種生理反應讓成人牙齒矯正依然具可行性,只是需要更精準的力道控制與更長的穩定期。
年齡從來不是矯正的絕對阻礙,牙周健康才是關鍵。 若牙齒周圍的齒槽骨、牙齦與韌帶組織健康,成人與青少年一樣能進行矯正。反之,即使年紀輕,但若有嚴重牙周病或骨吸收問題,矯正反而可能增加風險。這也是為什麼在成人矯正前,醫師會特別重視牙周狀況與口腔清潔習慣。
因此,專業評估遠比年齡更重要。 成人矯正成功與否,取決於醫師對牙齒移動速度、骨質密度、牙周承受力與整體咬合的評估能力。透過完整檢查、個人化設計與穩定追蹤,即使超過30歲、40歲甚至50歲,也能藉由矯正重拾整齊笑容與健康咬合。
成人牙齒矯正的常見方式與特色
隨著醫療科技不斷進步,成人牙齒矯正已不再只是年輕族群的專利。 現代矯正技術更注重外觀、美觀度與生活便利性,無論你是上班族、業務人員、藝文工作者,甚至是需要長時間面對客戶的專業人士,都能找到符合自身職業、生活型態與預算的理想矯正方案。
傳統金屬矯正器 是歷史最悠久、也是臨床應用最廣的矯正方式。金屬材質能提供極高的穩定度與控制力,適合追求效果明確與齒列複雜度高的成人患者。雖然外觀上金屬色較為明顯,但其價格親民、矯正力精準,依然是許多重度錯咬合患者的首選。
若希望兼顧美觀與穩定,陶瓷矯正器(又稱美觀型矯正器)則是不錯的選擇。它的顏色接近牙齒本身,不易被發現,能在保持專業形象的同時完成矯正。陶瓷材質較不導熱、觸感舒適,但價格相對金屬矯正器略高,且若長時間接觸咖啡、茶飲,仍有輕微染色風險。這類矯正特別受到重視外觀的上班族或需要面對客戶的專業女性青睞。
對於追求隱蔽性與便利性的族群,隱形矯正(透明牙套) 是現代最受歡迎的成人矯正方式之一。它幾乎看不見,外觀自然,可在用餐與刷牙時自行取下,維持生活的彈性。隱形矯正非常適合經常上鏡、演講或社交頻繁的職業,例如空服員、老師或行銷人員。 但這類矯正需高度自律,若每日配戴時間不足,可能會影響療程進展,因此患者需有良好的自我管理能力。
此外,近年來越來越多診所推薦的自鎖式矯正器,則兼具效率與清潔便利性。自鎖式設計能減少鋼絲摩擦與壓力,讓牙齒移動更順暢,也能降低回診頻率,相對節省時間。由於結構簡化,也讓清潔更容易維持。這種矯正方式特別適合工作繁忙、無法頻繁回診的上班族或家長群體,雖然價格略高,但整體舒適度與衛生性更佳。
在選擇矯正方式之前,最重要的是先由專業醫師進行全面性評估。 醫師會根據牙周健康、牙齒排列、咬合關係與個人生活習慣,提供最適合的方案建議。成人矯正並非單看外觀選項,而是必須兼顧功能性、長期穩定與口腔健康。
小提醒: 無論選擇哪種矯正方式,請務必遵循醫師指示、定期回診與保持口腔清潔。矯正的成功,取決於醫師的專業判斷與患者的配合度。
成人牙齒矯正的優勢與挑戰
優勢
- 經濟能力較佳:成年人多有穩定收入,可選擇高階矯正器或分期付款。
- 動機強烈:多數成年人是出於自我要求或工作需求,意志力高。
- 自律性高:在口腔衛生和配戴習慣上更能遵守醫囑。
挑戰
- 牙周問題較多:可能需先進行牙周治療才能開始矯正。
- 骨性條件固定:矯正需更精細規劃,時間可能略長。
- 生活忙碌:需妥善安排回診時間與口腔護理。
成人矯正 VS 青少年矯正的三大重點比較
成功案例分享:錯過青春也能笑得自信
以下四個示意案例,呈現成人矯正的多樣化情境(案例僅為故事性說明,非醫療功效保證):
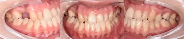
案例1:傳統矯正

動機:年輕女性因戽斗、下巴歪斜及前牙錯咬導致笑容不美,缺乏自信與交友困難,因此決定進行齒顎矯正治療。
過程:透過齒顎矯正專業評估與治療,調整上下顎弓寬度並改善缺牙狀況,使咬合與外觀逐步協調。
結果:矯正後牙齒咬合功能提升、下巴歪斜改善,笑容甜美且重拾自信,生活與人際關係更幸福美滿。
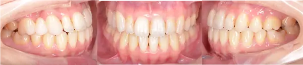
案例2:隱形矯正

動機:牙齒不整齊、講話時牙齒常撞到、食物常塞牙縫
過程:依據醫師建議選擇隱適美矯正,透過精準牙套與定期回診,在治療過程中兼顧舒適與美觀。
結果:經過八個月治療後,患者牙齒排列整齊、咬合改善,並養成良好的口腔保健習慣展現自信笑容。
這些案例顯示,成人矯正不僅能改善外觀,還能讓口腔更健康、更有自信地生活。
成人牙齒矯正過程中常見疑問 Q&A
Q1:年紀大會影響矯正效果嗎?
許多成人擔心「年紀大就不能矯正」,但事實上,能否矯正並不取決於年齡,而是牙周健康與骨質條件。 只要牙齒周圍的骨頭與牙齦狀況良好,不論是 30、40、50 歲甚至更高齡的患者,仍然可以成功接受牙齒矯正。
成人之所以仍能矯正,是因為牙齒的移動原理來自「骨頭重塑(bone remodeling)」而非年齡本身。 當牙齒受到持續而溫和的矯正力量,周圍的牙槽骨會發生吸收與新生的變化,進而讓牙齒移動。只要牙周組織健康、骨密度足夠,骨頭依然能對矯正力量做出正常反應。
成人矯正除了能改善外觀,還能修正清潔死角、提升口腔衛生與改善咬合問題。現代矯正技術也能依個人骨質與牙齒狀況「客製化調整力道」,不會因年齡而受限。
但在開始治療前,仍需由醫師評估牙周健康,包括是否有牙周病、牙齦萎縮、骨質密度不足,或是否存在缺牙區需併行植牙計畫。若患者有糖尿病、骨質疏鬆等慢性病,也須先穩定控制後再行矯正,以確保療程安全與效果穩定。
Q2:成人矯正會更痛或更久嗎?
矯正的不適感與療程長短,其實與年齡沒有絕對關係,主要取決於牙周反應、矯正方式與齒列複雜度。
在初期的 3~7 天內,成人常會出現輕微的酸脹感或不適,這是骨頭移動的正常生理反應。由於成人的神經感受較敏銳,前期不適可能比青少年明顯,但大多能透過冰敷、止痛藥或調整飲食來舒緩。當身體逐漸適應後,酸脹感會逐步減輕,進入穩定階段。
至於療程時間,影響矯正進度的因素包括:是否有暴牙、齒列擁擠、深咬或開咬等問題;是否需要拔牙、補骨或牙周治療;以及患者回診規律與配合度。骨質密度高或配合度佳者,牙齒移動會更順暢。
一般成人矯正期約 1.5~2.5 年,若齒列條件單純或採用隱形矯正,療程甚至可縮短至約 1~1.5 年。
更令人放心的是,現代矯正技術已能精準控制矯正力道、降低疼痛感,加上美觀型矯正器(如舌側或透明牙套)讓配戴更自然。由於成人通常配合度高、清潔意識佳,治療穩定度與完成效果反而更優於青少年。
Q3:矯正期間如何維持口腔清潔?有哪些工具要一起使用?
配戴牙套後,食物殘渣容易卡在托槽、牙縫與細微空間,僅靠牙刷往往無法徹底清潔。 為預防蛀牙與牙周炎,應搭配牙間刷與沖牙機使用。
在使用牙間刷時,應選擇適合牙縫大小的刷頭,避免太大造成牙齦損傷。清潔時輕放於牙縫或托槽邊緣,以前後滑動方式去除卡垢,每處約刷 3~5 下。 若牙縫較小,可選用錐形或極細型刷頭,提升清潔效率。
沖牙機則能透過水柱壓力沖走難以刷到的殘渣。建議從低水壓開始,再依需要逐步調整強度,沿牙齦線與托槽周圍慢慢移動,每個區域停留 2~3 秒,全口清潔約需 1~2 分鐘即可完成。
若能每天早晚各一次搭配正確的刷牙步驟與輔助工具,矯正期間仍能維持健康無異味的口腔環境。
Q4:矯正期間能吃什麼?有哪些食物建議與禁忌?
矯正初期牙齒較敏感,托槽與鋼絲容易鬆動,因此飲食以「軟質、好咀嚼、不黏牙」為原則。 適合的主食包括粥、燉飯、軟麵、吐司去硬邊等;蛋白質可選擇蒸蛋、豆腐、魚肉或絞肉料理;蔬菜則建議燉煮或打成泥狀;水果可選擇香蕉、木瓜、奇異果等軟質品項,若是蘋果類可先切片再食用。
其他營養選擇如馬鈴薯泥、豆漿、優格或布丁,也都是理想的矯正期飲食。 這些食物不僅容易咀嚼,還能減少牙套受力與摩擦。
相反地,應避免過硬、過黏或需大力咬斷的食物,例如堅果、牛肉乾、硬餅乾、年糕、麻糬、軟糖、牛奶糖、玉米棒、整顆蘋果與帶骨肉類。這些食物容易導致托槽脫落或卡垢,不僅增加清潔困難,也可能延誤治療進度。
小技巧: 想吃較硬或整塊的食物時,可事先切小塊、去骨、去殼或削薄,減少咬合負擔。只要掌握「少量多口、軟化處理」原則,矯正期間仍能享受美味飲食而不影響療程。
成人矯正常見疑問與對策
錯過青春也能擁有整齊美觀笑容
成人牙齒矯正的價值不僅在於「美觀」,更是一種健康與自信的投資。無論是隱形牙套、自鎖式矯正或傳統矯正器,只要牙周健康、評估妥善,成年後依然能獲得理想的矯正效果。
在嘉貝牙醫,我們提供三大優勢,讓你的矯正療程更安心:
- 專業矯正團隊:由臨床經驗豐富的矯正專科醫師親自規劃,精準掌握費用與療程進度,確保每一步都在掌握中。
- 先進數位設備:透過數位口掃與 3D 模擬技術,讓你在治療前就能清楚了解矯正牙齒費用的組成,以及未來笑容的模擬成果,減少不確定感。
- 客製化治療方案:依照你的口腔狀況與生活需求,量身打造專屬矯正計畫,避免不必要的支出,同時兼顧美觀與功能性。
選擇嘉貝牙醫,不僅能有效控管矯正牙齒的費用,更能幫助你獲得整齊美觀的牙齒與自信笑容。不要讓年齡成為阻礙,立即預約諮詢,讓專業醫師為你打造專屬療程,開啟健康與美麗並行的新生活,讓笑容成為最有力的名片!
延伸閱讀:

