牙齒的咬合狀態如何分類?

依據上下顎骨與牙齒關係,大致上分為三類 正常咬合上下兩顎的大小是對襯協調的,上顎臼齒輕微覆蓋下顎臼齒

關於牙齒的咬合分類
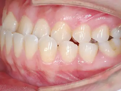
第一類不正咬合

上下臼齒咬合關係正常,上下顎前後關係正常, 只是牙齒的排列較凌亂、擁擠

關於牙齒的咬合分類
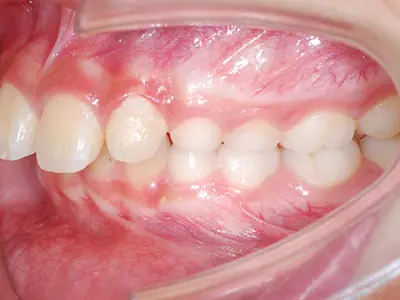
第二類不正咬合

病患的臉部外形可看出上顎似較突出,也就是 一般所謂的『暴牙』

關於牙齒的咬合分類
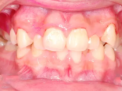
第三類不正咬合

病患的臉部外形可看出其下顎顯得較突出,也就是 一般所謂的『戽斗』

關閉