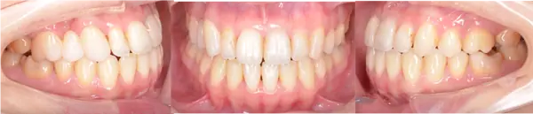
這是一個複雜的案例,年輕女性,戽斗,下巴歪斜,不愛笑(因為露牙笑時不美 ),對於交朋友沒有自信心,前牙錯咬,上下顎弓寬度不協調,上顎左右各缺一顆小臼齒。

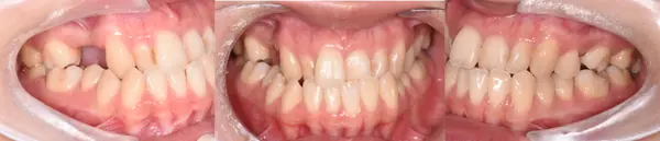
經由齒顎矯正治療後,牙齒咬合功能變好,咀嚼效率提升,外觀下巴歪斜的情況獲得明顯改善,整個人變漂亮,笑起來很甜,變的很常笑,重點是遇到一位白馬王子,現在是一位幸福可人的甜姐兒。姐妹們,要先對自己好一點,幸福就會來敲門。

成人矯正
治療前
成人矯正
治療後
關閉